Взорвавшаяся петарда изуродовала кисть восьмилетнего мальчика. Женщина, продавшая ему опасную «игрушку», получила уголовное дело
В Приозерском районе Ленобласти задержали хозяйку магазина, где ребенок младшего школьного возраста приобрел петарду. После случившегося взрыва петербургские врачи пять часов оперировали мальчика, но спасти оторванные пальцы не смогли.
Взрыв произошел 11 февраля. Восьмилетка получил травму руки, которая квалифицируется как тяжкий вред здоровью, сообщила пресс-служба Следственного управления СК РФ по Ленобласти.
Сотрудники ведомства установили, что школьник сам купил пиротехническое изделие. В этой связи следственный орган – СО по городу Приозерску – счел необходимым возбудить уголовное дело по пункту «в» части 2 статьи 238 УК РФ (оказание услуг, не отвечающих требованиям безопасности жизни и здоровья потребителей, повлекшее по неосторожности причинение тяжкого вреда здоровью человека). Статья предусматривает разные виды наказаний, от штрафа в 100 тысяч рублей до лишения свободы на срок шесть лет.
Фигуранткой стала женщина – индивидуальный предприниматель, которая продала петарду ребенку. По закону покупатели таких товаров не могут быть младше 16 лет.
Предпринимательницу задержали Следствие считает, что ее стоит отправить под стражу, и будет ходатайствовать об этом перед судом.
По данным 47news, задержанная женщина является владелицей магазина «Продукты», где мальчик покупал петарду.
Тем временем, пострадавший ребенок после взрыва находится в клинике Санкт-Петербургского государственного педиатрического университета (СПбГПМУ).
Как сообщила пресс-служба медучреждения, несчастный случай произошел около 19:00. В клинику мальчика доставили в 21:40, после чего он пять часов провел на операционном столе.
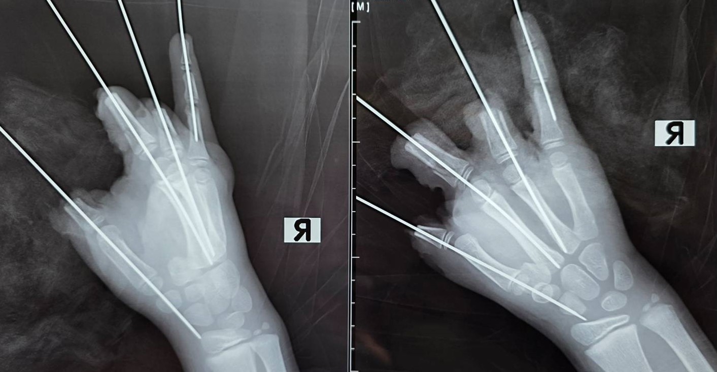
В результате взрыва школьнику оторвало четыре пальца на правой руке, с большого по безымянный. Мизинец уцелел, хотя был сильно поврежден. Кроме того, врачи диагностировали у юного пациента открытый перелом и вывих пястной кости, размозжение и множественные дефекты мягких тканей кисти.

«Врачи выполнили удаление свободно лежащих фрагментов костей, соединили отломки фаланг среднего и безымянного пальцев посредством металлоостеосинтеза. Также специалисты провели щадящую первичную хирургическую обработку с удалением явно нежизнеспособных тканей и сформировали культи большого, среднего и безымянного пальцев на уровне проксимальных фаланг», - описала хирургические манипуляции пресс-служба СПбГПМУ.
Медики говорят, что сделали все для сохранения максимально возможного объема тканей, но, к сожалению, при настолько тяжелых повреждениях спасти пальцы было невозможно. Увы, пиротехнические взрывы часто приводят к подобным последствиям. В данном случае хорошо, еще, что ребенку не оторвало всю кисть, – а в практике хирургов СПбГПМУ бывали и такие случаи.